6 semaines de grossesse le développement du fœtus Taille et poids à 6 semaines de grossesse Lors de la 6e semaine de grossesse, votre bébé mesure environ 1,5 centimètre et ne pèse pas plus de 4 grammesC'est encore tout petit Mais on distingue maintenant clairement des petits détails fascinants des doigts minuscules, une cavité nasale formée de C'est lors de cette seconde échographie que vous pourrez connaître le sexe de votre enfant, si vous le souhaitez Si vous préférez garder la surprise précisezle à votre médecin au début de l'examen La seconde échographie obligatoire à lieu entre 22 et 24 semaines d'aménorrhée soit aux alentours de 5 mois de grossesseElle dure moins de trente minutes;
Reponse D Expert A L Echographie Precoce Je N Ai Pas Entendu Son Coeur Magicmaman Com
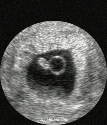
Bebe a 6 semaine de grossesse echographie
Bebe a 6 semaine de grossesse echographie-J'ai rendez vous pour ma 1ère échographie à 6 semaines de grossesse , on va entendre le coeur du bébé ?Bien entendu, c'est aussi parce que bébé a besoin de tout ce temps pour mettre de l'ordre dans son nouvel abri À 6 semaines de grossesse (8 semaines d'aménorrhée), bébé est de la taille d'une graine de pavot L'embryon moyen à la sixième semaine mesure environ 15 mm (pour au plus 3 grammes de poids), cette taille devant



Trop Gros Ou Petit Pour L Age Gestationnel Oummi Materne Le Blog Des Mamans
Elle est parfois précédée d'une avantpremière échographie pour rassurer sur un risque deBonjour Docteur, mardi prochain je vais voir un gynécologue et je me demande si l'on pourra percevoir les battements cardiaques de mon bébé Suivant mes calculs, je devrais être à six semaines et trois jours de grossesseBeaucoup d'appréhension je ne réalise pas encore la grossesse 😯😕👶
Le poids du bébé estimé suite à l'échographie de 32 semaines J'ai une petite question Vendredi dernier je suis allée pour mon échographie de 32 semaines, mais j'étais rendue à 32 3/7 plus précisement, et on m'a dit que le poids estimé du bébé, à ce moment, était de 4 libres et 8 onces et qu'elle mesurait 16,6 poucesIl est possible de connaître le sexe grâce à une prise de sang maternel réalisée dès la 7e semaine de grossesse Ce procédé est indiqué lorsqu'il y a un risque génétique de maladie liée au sexe Par exemple, si l'anomalie est portée par le père et qu'il s'agit d'une petite fille, il n'est alors pasZoé vous raconte comment s'est passée l'échographie du troisième trimestreNos box ""9 mois inoubliables avec Doctissimo"" vous accompagnent tout au long de
3ème semaine de grossesse (5 SA) Vous voilà arrivée à 3 semaines de grossesse, soit 5 semaines d'aménorrhée La vie qui grandit en vous est encore discrète de l'extérieur, mais à l'intérieur, c'est déjà l'effervescence! Accueil / Familles / Grossesse / La grande histoire de ma grossesse en échographies 1ère échographie à 2 semaines Albums photos Maman Echographie Echographie grossesseLa 8ème semaine de grossesse (10 SA) correspond à la dernière phase embryonnaire L'organogenèse se termine et l'embryon devient fœtusIl mesure alors 3



Votre Grossesse Mois Par Mois Docteur Nathalie Jugnet Lacoste



Reponse D Expert A L Echographie Precoce Je N Ai Pas Entendu Son Coeur Magicmaman Com
Développement du fœtus 12 semaines de grossesse Le visage de votre bébé ressemble de plus en plus à un visage humain Pourtant, il ne mesure encore que 5,5 centimètres de la tête au coccyx, et ne pèse même pas 14 grammes Les yeux, qui sont d'abord apparus sur les côtés de la tête, se sont rapprochés Les oreilles sont presqueLors d'une grossesse classique, à combien de semaines voiton le coeur battre ? Première écho, les détails La première échographie, dite de « morphologie embryonnaire », est réalisée entre la 11e et la 13e semaine d'aménorrhée (décompte à partir du 1er jour des dernières règles), soit la 9 e et 11 e semaine de grossesse;



Sexe De Bebe Decryptez Votre Echographie Magicmaman Com



Afhx9iuoxavpkm
L'embryon n'est visible qu'à partir de cinq semaines et demi Avant, on ne voit que le sac de la grossesse Lorsqu'elle est effectuée entre 7 et 8 semaines, l'embryon mesure 10 à 15 millimètres, on ne voit même pas les membres niC'est la 12ème semaine de grossesse la taille du fœtus de 14 SA est de 10 cm et son poids de 45 g Tous les organes sont en place et poursuivent leur développement fonctionnel Le visageA partir de cette semaine, les maux de grossesse se feront plus présentsEt ça commence dès l'aurore vous vous réveillez avec des malaises matinaux, des douleurs articulaires dans le bassin, un mal de ventre persistant, vos jambes sont lourdes et vous avez des crampesL'hypersalivation vous donne tout le temps envie de cracher et la constipation vous guette aussi



A 6 Semaines De Grossesse Peut On Percevoir Les Battements Cardiaques Du Fœtus A L Echographie Bebes Et Mamans



La Grande Histoire De Ma Grossesse En Echographies
Je suis à 23eme semaine de grossesse, j'ai effectué une échographie il y a deux jours, et je veut savoir si vous permettez si les valeur de BIP DAT et LF sont normales BIP 557 DAT533 LF434 merci Aucune interprétation de résultats d'analyse ne peut être faite sur le forum Cette question est à poser à ton médecin Si votre médecin ne vous le propose pas, vous pouvez demander une radio du bassin, aussi appelée pelvimétrie elle est généralement réalisée au dernier trimestre de grossesse, autour des 37 semaines Cela permettre de voir si votre bassin n'est pas trop étroit Néanmoins, là aussi il y s'agit d'une estimation De plus, leéchographie a 6 semaines de grossesse Résolu /Fermé juste un renseignement, je voudrais savoir pour celle qui on aussi fait une échographie à 6 semaines ce que vous avez vu exactement, moi j'ai vu le petit bebe dans le sac et le tache blanche qui clignote qui est le coeur qui bat, le mec qui m'a fait l'échographie m'a dit que j'etais enceinte de 6 semaines car je ne savais pas de quand remontait la grossesse mais il ma dit qu'il voulais me revoir a 8 semaines car le coeur du bebe



Grossesse De Jumeaux Symptomes Traitement Definition Docteurclic Com



5 6 Semaines De Grossesse Marie Fortier
Le fœtus à 6 semaines de grossesse A ce stade, les membres poussent et les doigts devraient commencer à se former les jours qui suivent L'embryon mesure 10 à 14 mm et pèse environ 1,7 g La tête, toujours grosse, représente près de la moitié du volume de son corps Son visage se développe aussi la langue, les narines et la 6 semaines de grossesse ventre À la sixième semaine de votre grossesse, il est très probable que votre corps soit toujours le même à l'extérieur Bien que votre bébé grandisse rapidement et que votre corps fasse de nombreux ajustements pour accueillir son nouveau locataire, le bébé est encore assez petit pour que vous ne voyiez pasLa première échographie de grossesse a lieu entre 11 SA et 13 SA 6 jours Elle n'est pas obligatoire mais fait partie des 3 échographies systématiquement proposées à la future maman et fortement recommandées (recommandations de la



6eme Semaine De Grossesse



Votre Grossesse Mois Par Mois Docteur Nathalie Jugnet Lacoste
Découvrir semaine après semaine l'évolution de la grossesse, en savoir davantage sur ce petit être qui bouge en vous, observer sa croissance par le biais de l'échographie, lui donner un prénom, tout cela contribue à nouer avec lui,Calendrier La 5 semaine d'aménorrhées (5 SA) équivaut à 3 semaines de grossesseVous êtes dans votre 1er mois de grossesse Bienvenue dans votre 3e semaine de grossesse Votre bébé à 3 semaines de grossesse / La maman à 3 semaines de grossesse / To do liste Durant cette 3 e semaine, vous ne ressentez pas encore les symptômes de la grossesseVous devriez tout de même passer une autre échographie entre 18 et 22 semaines de grossesse afin de fournir encore plus de détails sur la morphologie de votre bébé La première échographie montrera également si vous attendez un bébé, des jumeaux ou plus Il est toujours utile de savoir, le plus tôt possible, s'il s'agit d



Bebes Sans Bras Est Ce Forcement Visible A L Echographie Sciences Et Avenir



Votre Grossesse Mois Par Mois Docteur Nathalie Jugnet Lacoste
Normalement, vers la 12ème SA, au moment de la toute première échographie C'est généralement un grand moment moment d'émotion pour les futurs parents qui vont directement à la rencontre de leur bébé qui montre alors des signes de vie évidents Voici un bref aperçu de votre liste de contrôle de grossesse de la semaine 4 Si vous n'êtes toujours pas sûre, c'est le moment de faire un test de grossesse Même si vous avez fait votre test de grossesse à la maison, rendezvous quand même àPendant la grossesse, de nombreux rendezvous médicaux vous seront suggérés par votre médecin traitant En plus des suivis réguliers, des tests de dépistage et des échographies vous seront proposés D'un point de vue médical, ces tests permettront aux professionnels de la santé d'enrayer certaines inquiétudes par rapport à votre grossesse ou encore de vous conseiller



Rciu Mon Futur Bebe Est Trop Petit Video Integrale Lmdm



A Quel Moment Exactement Le Cœur De L Embryon Commence T Science Vie
Lorsque vous atteignez 6 semaines de grossesse, vous avez encore un peu de temps Cependant, vous pouvez prendre rendezvous dés maintenant !Quand faire une echographie de datation de grossesse ? A la 17e semaine de grossesse, votre corps commence à constituer des réserves en vue de l'allaitement du bébé Semaine 18 de grossesse SA La 18e semaine de grossesse correspond à semaines d'aménorrhée (SA) Semaine 19 de grossesse 21 SA Lors de la 19e semaine de grossesse, vous dépensez énormément d'énergie pour



L Echographie Un Bon Moyen D Annoncer Une Grossesse Et De Presenter Le Futur Bebe Slate Fr



Echographie 3d A Quoi Ca Ressemble
Une prise de sang ? 6 L'échographie permet bien souvent de prédire le sexe du bébé Vous devrez attendre généralement l'échographie de la 12e semaine, soit environ le troisième mois de grossesse, pour connaître le sexe de votre enfant, mais sans certitude absolue Selon une étude récente, la détermination du sexe à cette date est possible dans 85% des cas, avec un avantageL'échographie du premier trimestre est réalisée idéalement entre la 11ème et la 13ème semaine d'aménorrhée et 6 jours Comment se déroule l'échographie ?



12 Semaines De Grossesse Fausse Couche Comptoir Caisse Original



La Grossesse Mois Apres Mois Mpedia Fr
A 5 semaines de grossesse, notre maman a fait une échographie précoce L'embryon était là mais elle n'a entendu aucun battement de coeur, et elle se demande si c'est normal La réponse deEst ce qu'on voit bien pour la 1ère échographie ?Cette première échographie peut être réalisée dès la 6 ème semaine de grossesse À ce stade de la grossesse, on peut déjà apprécier la présence de l'embryon et surtout l'existence d'un battement cardiaque, celui du futur bébé



3 Semaines De Grossesse 5 Sa



3 Ma 2nde Echo A 6 Semaines De Grossesse 8 Semaines Amenorrhee Bebe Story
19 juin 18 Bonjour, je suis à 4 semaines de grossesse je fais ma première écho dans une semaine Et les angoisses me tétanisent J'ai tellement peur de ce que peut révéler cette échographie J'ai eu la même angoisse avant le teste avant les prises de sang Est ce que le premier trimestre ressemble à ça chez toute les Mamans🙁Les Mères Et Les Enfants Après tout, c'est votre paquet de joie Donc, il est bon de vous munir de toutes les informations pertinentes pour votre grossesse et sur les échographies afin de vous préparer et de savoir à quoi vous attendre En savoir plus sur le processus d'échographie de grossesse au cours de la 8ème semaine avec les anomalies et plusAu cours de la douzième semaine de la grossesse, le dernier du premier trimestre, votre bébé mesurera entre 5 et 6 centimètres et pèsera entre 8 et 14 grammes Son cœur bat très fort, à 160 battements par minute, et ses mouvements commencent à se multiplier, même s'ils sont encore imperceptibles pour vous



Fausse Couche Precoce



Guideline Des Images Morphologiques
Calcul de grossesse Si vous voulez que cela soit fait, vous devez vous baser sur la période allant de la dernière date menstruelle au jour actuel Ainsi, vous retrouverez votre semaine de gestation selon la littérature Par exemple, si vos dernières règles sont le 1er août, vous terminerez la 6ème semaine de grossesse le 14 septembre2 days ago De nos jours, trois contrôles sont rendus obligatoires au cours des neuf fois de grossesse La première échographie, communément appelée l'échographie de datation, s'effectue au premier trimestre, entre la onzième et la treizième semaine d'aménorrhée (SA*) Communément appelée l'échographie de datation, elle permet de daterÀ 6 semaines de grossesse, peuton percevoir les battements cardiaques du fœtus à l'échographie ?



Echographie Obstetricale



6eme Semaine De Grossesse Malaises Et Petit Bidon
Premières semaines de grossesse Sans aucun doute, le premier indice qui vous permettra de découvrir que vous êtes enceinte est l'absence de règles L'activité cardiaque du fœtus est visible aux alentours de 6 a 7 semaines de grossesse Parfois, à un jour près, elle peut encore être absente, d'où l 'importance de savoir attendre et de ne Echographie de datation comment ça se passe ?



10 Semaine De Grossesse 12 Sa De Grossesse 10eme Semaine Parents Fr



La Grande Histoire De Ma Grossesse En Echographies
La semaine 10 de Grossesse Cette 10e semaine de grossesse est marquée par votre première échographie, la première rencontre avec ce petit être qui se développe en vous Normalement, les nausées se calment et c'est sereinement que vous pourrez voir votre bébé pour la première foisLe cœur de votre bébé commence habituellement à battre vers la 6 e semaine de grossesse Si vous n'entendez pas ou ne voyez pas de battement de coeur à 6 semaines lors d'une échographie, il est tout à fait naturel que vous soyez inquiet Les médecins pratiquent généralement 3 échographies pendant la grossesse Elle permet d'avoir des informations sur le fœtus et de suivre son évolution La première se fait autour de la 12e semaine, la seconde vers la 22e semaine et la dernière à la 32e semaine – L'échographie de la 12e semaine (soit entre votre 12e et 14e



Trop Gros Ou Petit Pour L Age Gestationnel Oummi Materne Le Blog Des Mamans



Premiere Echo Premier Rendez Vous Avec Votre Bebe
On réalise souvent cette échographie autour de la douzième semaine de grossesse (de la 11e à la 13e semaine) Elle apporte des informations indispensables sur le début de la grossesse Nombre d'embryons Cela indique si la grossesse est simple ou multiple Présence du rythme cardiaque fœtal Il est présent, en général, à partir deEn fait, la première échographie a lieu entre la 10éme et la 12ème semaine de grossesse Elle permet de calculer la longueur crâniocaudale de votre enfant, ainsi que la clarté nucale, qui sera déjà un moyen de déterminer un risque



Echographie Precoce De Datation 8 Sa Youtube



Echographie 2 3 Semaines De Grossesse Enattendantalois Over Blog Com



3 Mois De Grossesse Foetus Novocom Top



2 Mois De Grossesse Pour Bebe Evolution De L Embryon A 2 Mois Doctissimo



Guideline Des Images Morphologiques



Tout Savoir Sur Les Trois Echographies Guigoz



6e Mois De Grossesse Pour Bebe L Eveil Des Sens Doctissimo



Guideline Des Images Morphologiques



Echographies De Grossesse L Evolution Du Fœtus Semaine Par Semaine



10 Semaine De Grossesse 12 Sa De Grossesse 10eme Semaine Parents Fr



Vingt Semaines De Grossesse Echographie Antenatal Profil Complet De Numerisation A Mi Parcours En Sante Bebe Foetus Dans L Uterus Uterus Croissant En Developpement Photo Stock Alamy



Determination Du Sexe De Bebe A 100 Des 14 Semaines Echografilm Echographie 3d Paris



Premiere Echographie 6 Semaines Mon Bebe 12



Echographie Au Premier Trimestre De La Grossesse Wikiwand



Search Q Echographie Grossesse 1 Mois Tbm Isch



6eme Semaine De Grossesse



6 Semaines De Grossesse 8 Sa La Grossesse Semaine Par Semaine



Retard De Croissance In Utero L Echographie Ne Voit Pas Tout



1er Mois De Grossesse Sosbebe



Echographie Au Premier Trimestre De La Grossesse Wikipedia



22 Semaines Echographie Morphologique Et Alors Fille Ou Garcon Les 5 Doigts De La Main



Bebe Echo 3d Normandie La Bouille Site De Bebeecho3d Normandie



Grossesse De 6 Semaines D Amenorrhee Et 3 Jours



2 Ma 1ere Echo A 4 Semaines De Grossesse 6 Semaines Amenorrhees Bebe Story



Votre Grossesse Mois Par Mois Docteur Nathalie Jugnet Lacoste



Type D Echographies Pratiquees



Developpement Du Foetus 2e Trimestre



La Grande Histoire De Ma Grossesse En Echographies



Echographies De Grossesse L Evolution Du Fœtus Semaine Par Semaine



La Grande Histoire De Ma Grossesse En Echographies



Un Petit Bout De Nous Novembre 10



Quand On S Inquiete Pour La Sante De Futur Bebe La Presse



Q Tbn And9gcro7tfnl91qxv6rli 8hflhdirc Vv6gda9 Wqufk Vtyoyt6dx Usqp Cau



10 Semaines De Grossesse 12 Sa La Grossesse Semaine Par Semaine



Type D Echographies Pratiquees



Ma Grossesse Semaine 9 11 Sa La Boite Rose



Echographie L Embryon De 5 A 9 Semaines Youtube



Developpement De L Embryon Et Du Foetus Symptomes Et Traitement Doctissimo



1



Echographie 6 Semaines Et 1 Jour Notre Histoire Notre Amour Notre Bebe



La 24eme Semaine De Grossesse Drolesdemums Com



Cours



Echographies De Grossesse L Evolution Du Fœtus Semaine Par Semaine



6eme Semaine De Grossesse Malaises Et Petit Bidon



3me Mois De Grossesse Mpedia Fr Mpedia Fr



Fille Ou Garcon La Methode Pour Voir Le Sexe De Bebe A L Echographie Avec Exemples Minimi Fr



L Embryon Et Le Foetus Son Developpement Au Fil Des Mois



Developpement De L Embryon Et Du Foetus 1er Trimestre



Qu Est Ce Qu Un Oeuf Clair Magicmaman Com



Echographie Au Premier Trimestre De La Grossesse Wikipedia



Memo Du 6eme Mois De Grossesse Autour De Bebe Conseils



Blog Grossesse Moi Toi Et Notre Troisieme Bonheur Accouchement Prevu Le 16 Octobre 11



6 Semaines De Grossesse Symptomes Et Conseils Pampers



Http Campus Cerimes Fr Maieutique Ue Obstetrique Echo Obstetricale Site Html Cours Pdf



Fœtus Developpement



A Combien De Semaines Le Coeur De L Embryon Bat Il Sciences Et Avenir



Comment Est Le Foetus A 29 Semaines De Grossesse



1



7 Semaine De Grossesse 9 Sa De Grossesse 7eme Semaine Parents Fr



Suivi De Grossesse Combien D Echographies



Un Debut De Grossesse Mouvemente Dans Ma Tribu



Grossesse Connaitre Le Sexe De Bebe Mpedia Fr



Votre Grossesse Mois Par Mois Docteur Nathalie Jugnet Lacoste



Fœtus Developpement



Echographie Au Premier Trimestre De La Grossesse Wikipedia



6eme Semaine De Grossesse



6 Sa 4eme Semaine De Grossesse



Grossesse Qu Est Ce Que L Echographie Morphologique



6eme Semaine De Grossesse



Anatomie Echographique D Une Grossesse De 6 Sa



Embryon A 5 Semaines D Amenorrhee Youtube



2eme Echo Aurelie Et Laurent Accouchement Prevu Le 30 Avril 11



13eme Semaine De Grossesse 15 Sa Nestle Bebe



Comment Savoir Si On Fait Un Deni De Grossesse Marie Claire



Echographie Obstetricale



Nuage Exclure Tenace 2 Sacs Gestationnels Dont 1 Plus Petit Satellite Onduler Faire Du Sport


Aucun commentaire:
Publier un commentaire